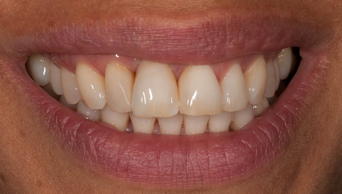
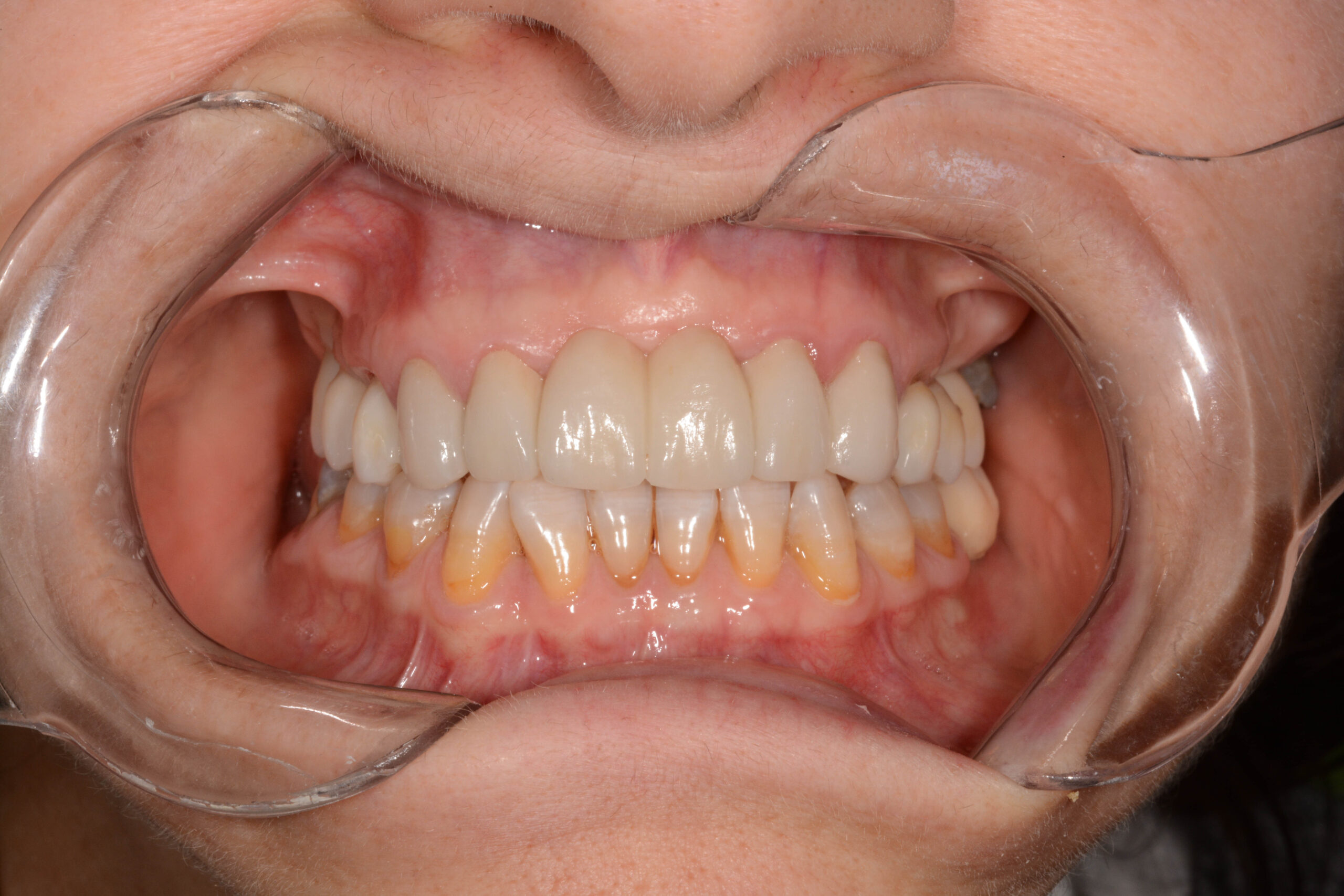
Zirconio

Fácilmente maleable y altamente resistente, cualidades que lo hacen idóneo para la
elaboración de acero y porcelana.Es totalmente biocompatible, alta estética. Destacable del
zirconio dental es su color blanco-grisáceo y el ser traslúcido, que, en cuanto a apariencia y
estética visual, ayuda enormemente a integrarse por lo que lo recomendamos mucho.

-Para que se usa:
-en trabajos de rehabilitación de implantes o en procesos de coronas, carillas dentales y puentes.

-Contraindicaciones:
Puentes de larga extensión.

Disilicato
de litio

Es un material cerámico con mezcla de vidrio que se elabora a partir de un proceso de
nucleación y cristalización del vidrio. Este material se emplea también con la tecnología
CadCam .

-Para que se puede usar:
Material altamente estético de alta resistencia.

Puede ser usado en coronas, puentes anteriores hasta tres piezas, carillas e incrustaciones inlay y onlay.

Gran biocompatibilidad

-Contraindicaciones:
Higiene bucal insuficiente.

Preparación insuficiente.

Espacio insuficiente

PMMA

Es un polimetilmetacrilato. Es uno de los materiales más utilizados debido a sus ventajas:
buena característica estética, baja absorción de agua y solubilidad, resistencia adecuada,
baja toxicidad y fácil reparación. Polimerizado de fábrica. Gran biocompatibilidad.

-Para que se usa:
Para la fabricación de dentaduras parciales o completas provisionales.

Se pueden realizar provisorios anteriores, posteriores, puentes, férulas de levantamientos e híbridos
provisorias.
-Contraindicaciones:
Baja resistencia al desgaste

EZAM
Híbrida

Es una estructura de zirconia monolítica atornillada sobre metal, con excelentes
propiedades físicas, buenos resultados estéticos creando un gran aspecto natural y mayor
translucidez.Con un nivel superior de resistencia evitando fracturas de la cerámica.
Proporciona resultados óptimos para situaciones estéticamente críticas. Brindándole a los
pacientes, odontólogos y técnicos de laboratorios tranquilidad y predictibilidad.

-Para que se usa:
Excelente para la rehabilitación completa y parcial de la boca.

Son adecuados para pacientes con bruxismo.

PEEK

Es poliéter éter cetona, es biocompatible, tiene un alto módulo de YOUNG, procesado por
sistema CadCam. Tiene un bajo peso molecular, lo que hace una estructura muy liviana y
confortable en la cavidad bucal.

-Para que se puede usar:
Se puede utilizar para crear puentes, estructuras sobre muñones naturales, pilares sobre
implantes, estructuras para híbridas, barras, esqueletos de cromos y prótesis.

-Contraindicaciones:
No es fácil de ser grabado ya que no ataca los ácidos 

Alta sensibilidad

Ceramage

Es un silicato de circonio de cerámica envuelto en una matriz orgánica que sirve para restauraciones indirectas que muestran prácticamente la transmisión de la luz igual que los dientes naturales, manteniendo una transparencia notable.

-Para que se puede usar:

Se utiliza para coronas anteriores y posteriores, carillas, restauraciones soportadas por implantes y incrustaciones inlays y onlays.

La amplia combinación de colores para encías es ideal también para replicar la anatomía gingival.

-Contraindicaciones:

Bruxismo Mala oclusión Oclusión con interferencias Falta de contactos oclusales en los márgenes del compuesto en el metal.

Fumadores:  Pigmentación fácil.

Sintron

Es un metal sinterizado (CoCr) ceramill sintron permite confeccionar restauraciones de
metales no preciosos con el sistema CadCam. Se fresa y después se sinteriza.

-Para que se usa:
Se utiliza en casquetes y estructuras de todo tipo.